东方财富发布此内容旨在传播更多信息,与本站立场无关,不构成投资建议。据此操作,风险自担。
文章已关闭评论!
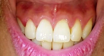
牙龈萎缩居然自然恢复了:牙龈萎缩居然自然恢复了!这些方法你也能试试
22周做四维会不会太早:22周做四维彩超,最佳时机解析与注意事项
吃石榴有什么好处和功效:石榴的惊人健康益处,不只是美味,更是黄金果!
一千度以上近视眼可以手术吗:高度近视(1000度以上)能手术吗?权威解答与注意事项
孩子厌学带他去三个地方:三个地方让孩子重燃学习兴趣,告别厌学困境
一般肺炎可以自愈吗:肺炎真的可以自愈吗?这些情况要警惕!
一般补肾要补多少天:补肾需要几天?中医告诉你正确周期
同房后小便刺痛什么原因:同房后小便刺痛,这些原因你可能中招了?
性关系几天可以知道怀孕:性关系后几天可以知道是否怀孕?全面解析怀孕检测时间点
长期做光子嫩肤的危害:光子嫩肤,美丽背后的健康隐患,长期使用的潜在风险