我想看胸片曝光:我想看胸片曝光,如何获取、理解与解读您的胸部X光检查报告
“我想看胸片曝光”,这句简单的话语背后,可能隐藏着对自身健康的关心、对检查结果的好奇,或是对诊断过程的疑问,胸部X光检查(简称胸片)是临床上非常常见且重要的影像学检查手段,用于评估心脏、肺部、胸壁、纵隔、大血管以及胸膜等结构的情况,了解如何获取、理解甚至初步解读自己的胸片,对于患者和家属来说,可以更好地参与到健康管理中来。
什么是“胸片曝光”?
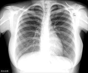
“胸片曝光”指的是使用X射线对患者胸部进行成像的过程,X射线是一种电磁辐射,能够穿透身体不同密度的组织,在胸片上,密度高的组织(如骨骼)会呈现为白色,密度较低的组织(如肺部,充满空气)呈现为黑色或深灰色,而中等密度的组织(如心脏、大血管、肝脏、脾脏等)则呈现为不同的灰度,通过观察这些影像信息,医生可以判断是否存在异常,如肺炎、肺结核、肺癌、心肌肥厚、胸腔积液、肺气肿、胸膜病变、骨骼异常等。
如何“看”到您的胸片曝光结果?
获取您的胸片结果通常有以下途径:

医院官方渠道: 最直接、最可靠的方式是通过进行检查的医院获取。
- 医院官网或APP: 很多大型医院提供在线查询系统,您可能需要输入检查编号、姓名、身份证号等信息,有时还需要医生上传报告后才能查看,部分医院的APP或微信公众号也集成了报告查询功能。
- 医院自助查询机或服务窗口: 在医院放射科、体检中心或相关科室的服务台,通常有自助打印报告的机器,或者工作人员可以帮助您查找并打印报告。
- 医生诊室: 您的主治医生或开单医生在看完报告后,通常会口头告知结果,并在病历中记录,您可以向医生索要书面报告或电子版报告。
影像云平台或第三方健康平台: 部分医院或影像中心会将影像数据上传到特定的在线平台,患者可以通过注册账号等方式在线查看影像和报告,一些商业健康平台也可能与医院合作提供此类服务。
体检报告: 如果是常规体检项目,胸片报告通常会包含在体检总结报告中,您可以直接在体检机构领取纸质报告或在线查询。
如何理解您的胸片报告?

理解胸片报告需要一些基础知识,但切记,最终的诊断和解释权在医生手中,您可以关注以下几个关键部分:
报告结论/诊断意见: 这是报告的核心部分,医生会根据影像学表现给出明确的描述和诊断意见。“心肺纹理清晰,双肺透亮度好,心影不大,膈肌升高,肋骨走行正常。” 或者 “右下肺野见片状密度增高影,考虑急性肺炎。” 报告中会明确指出发现的问题或异常。
影像学描述: 医生会用专业术语描述在胸片上看到的结构和异常表现。“斑片状阴影”、“结节影”、“索条影”、“胸腔积液征”、“主动脉弓增宽”等,理解这些描述有助于您了解异常的具体形态。
检查日期和编号: 确认报告对应的是您本次的检查。

医生签名/签发日期: 确保报告的时效性和有效性。
初步了解影像(非专业解读):
如果您想“看”得更直观,可以尝试:
- 观察肺部: 正常肺野应该是深灰色(含气),如果看到大片白色或混杂区域,可能提示炎症、积液或纤维化,黑色区域如果异常扩大,可能提示肺气肿。
- 观察心脏和大血管: 心脏轮廓在胸片上大致呈“靴形”或“梨形”,如果心脏轮廓增大,可能提示心脏功能或结构问题,主动脉弓是胸片上重要的血管标志,增宽可能提示动脉瘤。
- 观察胸廓和骨骼: 肋骨、胸椎、锁骨等结构应排列整齐,无扭曲或异常增厚,胸腔内软组织密度均匀。
重要提示:
- 谨慎解读: 虽然可以大致了解,但切勿自行诊断,影像学表现需要结合患者的临床症状、体征、实验室检查等多方面信息,由专业医生综合判断。
- 咨询医生: 如果您对报告有任何疑问,或者看到描述异常的词语感到担忧,请务必及时与您的主治医生沟通,医生会根据您的具体情况解释报告含义,并告知是否需要进一步检查或治疗。
- 保护隐私: 在线查询时,请注意保护个人健康信息,避免泄露。
“我想看胸片曝光”是了解自身健康状况的重要一步,通过正规渠道获取报告,并在必要时寻求专业医生的帮助,才能准确理解检查结果,为后续的健康决策提供依据。
相关文章:
文章已关闭评论!










