智齿都坏成大窟窿了还好拔吗:智齿都坏成大窟窿了,还好拔吗?牙医告诉你真相!
智齿,作为口腔中最后萌出的牙齿,常常因为位置隐蔽、清洁困难而成为口腔问题的“重灾区”,当智齿坏成大窟窿,很多人会陷入两难:是选择保留还是拔除?我们就来详细聊聊这个问题,帮助你做出明智的决定。
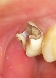
智齿坏成大窟窿,到底是什么情况?
智齿坏成大窟窿,通常是指牙齿出现了严重的龋齿(蛀牙),甚至可能已经波及到牙髓(牙神经),这种情况下,牙齿可能会出现以下症状:
- 剧烈牙痛:尤其是在吃冷热食物时疼痛加剧。
- 牙龈肿胀:可能伴有牙龈红肿、出血。
- 口臭或异味:由于细菌滋生,口腔异味加重。
- 面部肿胀:如果感染扩散,可能引起面部肿胀。
这些症状不仅影响生活质量,还可能引发更严重的口腔问题,比如牙髓炎、根尖周炎,甚至影响到全身健康。

智齿坏成大窟窿,还能保留吗?
答案是:几乎不可能。
当智齿坏成大窟窿,尤其是已经影响到牙髓时,牙齿的结构已经严重受损,无法通过常规的补牙或充填来修复,原因如下:
- 龋坏程度深:大窟窿意味着龋坏已经深入到牙齿内部,补牙无法完全清除病变组织。
- 牙髓感染风险高:如果龋坏已经波及牙髓,牙神经已经受到感染,补牙后也无法避免疼痛和炎症的反复。
- 难以清洁:智齿位置通常较深,清洁困难,即使补好,也容易再次蛀坏。
当智齿坏成大窟窿时,保留的唯一可能性是进行根管治疗(俗称“抽神经”)并配合牙冠修复,但这种情况需要满足以下条件:

- 龋坏尚未波及到牙根尖。
- 牙齿没有严重的骨吸收。
- 患者能够承担根管治疗和牙冠修复的费用和时间。
如果不想拔牙,根管治疗是唯一选择吗?
根管治疗虽然可以挽救一颗受损的牙齿,但智齿的位置特殊,治疗过程复杂,且治疗后的牙齿会变得脆弱,容易再次损坏,很多牙医会建议,尤其是对于位置不正、反复发炎的智齿,拔牙可能是更明智的选择。
智齿坏成大窟窿,拔牙是必须的吗?
不一定,但拔牙往往是更安全、更彻底的解决方案。
虽然根管治疗可以保留智齿,但智齿的特殊位置使得它成为口腔中问题最多的一颗牙齿,拔牙的好处包括:

- 彻底解决问题:拔牙后,口腔内不会再有这颗牙齿带来的隐患。
- 避免复发:智齿拔除后,减少了未来牙齿问题的发生率。
- 改善口腔卫生:拔牙后,清洁更容易,减少了细菌滋生的机会。
是否拔牙还需要根据个人情况来决定,比如年龄、牙齿位置、骨质情况等,建议你尽快咨询专业的牙医,进行全面的口腔检查,制定最适合你的治疗方案。
拔牙后需要注意什么?
如果决定拔牙,术后护理非常重要,以确保伤口顺利愈合,避免感染:
- 遵医嘱用药:按时服用消炎药和止痛药。
- 饮食注意:术后24小时内避免进食硬物,以流食为主。
- 避免剧烈运动:防止出血和肿胀。
- 保持口腔清洁:术后24小时后可以开始轻柔刷牙,但避免触碰伤口。
- 定期复查:确保伤口愈合良好,没有感染迹象。
智齿坏成大窟窿,虽然听起来让人担忧,但只要及时就医,选择合适的治疗方式,完全可以解决这个问题。是否拔牙,需要根据牙齿的具体情况、患者的年龄和整体口腔健康状况来决定。 不要因为害怕疼痛或担心费用而拖延治疗,口腔问题如果不及早处理,可能会引发更严重的后果。
建议:
尽快预约牙医,进行全面的口腔检查,听取专业意见,选择最适合你的治疗方案,毕竟,健康的牙齿和笑容,值得你花时间和金钱去维护!
相关文章:
文章已关闭评论!