10秒自查白肺:惊爆!10秒自查白肺!这些症状你中招了吗?
近年来,“白肺”一词频频出现在公众视野中,尤其是在呼吸道疾病高发季节,这个词更是让人闻之色变。“白肺”到底是什么?普通人如何快速判断自己是否出现相关症状?我们就来科普一下,教你用10秒钟快速自查“白肺”风险!
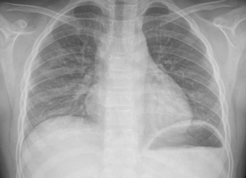
“白肺”到底是什么?
“白肺”并不是一个医学上的正式术语,而是对肺部影像学表现的一种形象描述,它通常指肺部在X光或CT扫描下呈现大片白色区域,提示肺部组织充血、水肿或实变,常见于重症肺炎、急性呼吸窘迫综合征(ARDS)等严重呼吸道疾病。
如果你出现以下症状,可能需要警惕:

- 呼吸困难:走路或平躺时明显气短;
- 咳嗽痰多:尤其是黄绿色浓痰;
- 胸痛或胸闷:深呼吸时加重;
- 发绀:嘴唇或指甲发紫、发青;
- 高烧不退:体温超过38.5℃且持续不退。
10秒自查法,速判风险!
虽然“白肺”听起来吓人,但别慌!普通人可以通过以下简单步骤初步判断自己是否处于危险状态:
步骤1:观察呼吸频率
- 正常呼吸频率:安静状态下每分钟16-20次;
- 异常信号:每分钟超过25次,或呼吸急促、费力,可能是肺部负担过重。
步骤2:摸脉搏
- 正常脉搏:安静状态下每分钟60-100次;
- 异常信号:心跳过快(>100次/分钟)或心慌、胸闷,提示心脏负荷增加。
步骤3:看嘴唇颜色
- 正常颜色:红润;
- 异常信号:嘴唇发紫、发青,或苍白,可能是缺氧的表现。
步骤4:自测咳嗽
- 正常情况:偶有干咳或痰少;
- 异常信号:剧烈咳嗽、咳大量浓痰,或伴有胸痛。
步骤5:评估精神状态
- 正常状态:精神好、食欲正常;
- 异常信号:嗜睡、烦躁、意识模糊,可能是病情加重的信号。
如果自查异常,该怎么办?
如果你通过以上5步自查发现异常,请立即采取以下措施:

- 保持冷静,避免剧烈活动;
- 立即吸氧(如有条件,可用家用制氧机);
- 及时就医,前往医院呼吸科或急诊科,进行专业检查(如血氧饱和度、CT等)。
预防“白肺”,从这些做起!
“白肺”多见于免疫力低下、基础疾病(如高血压、糖尿病)未控制好、或感染严重时,预防的关键在于:
- 增强免疫力:均衡饮食、规律作息、适度运动;
- 避免感染:少去人群密集场所,勤洗手、戴口罩;
- 控制基础疾病:定期复查,遵医嘱服药;
- 接种疫苗:尤其是流感疫苗和肺炎疫苗。
最后提醒:
“白肺”虽然听起来可怕,但只要早发现、早治疗,大多数情况是可以控制的。10秒自查法只是初步判断,不能替代专业医疗诊断,如果出现任何呼吸道不适,请务必及时就医,切勿耽误病情!
健康无小事,早查早安心,掌握这些自查方法,关键时刻能救命!你学会了吗?赶紧转发给家人朋友,一起守护健康!
互动话题:
你有过“白肺”的症状吗?是如何应对的?欢迎在评论区分享你的经历!
文章已关闭评论!